Skip to content

Materialise receives FDA clearance for Mimics Enlight cardiovascular software suite

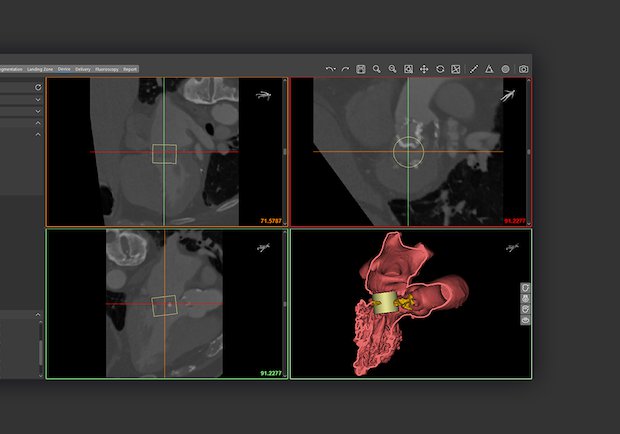
Materialise has received FDA clearance for its Mimics Enlight cardiovascular planning software suite, which helps to enhance clinician preparation for complex procedures.

Materialise Mimics Enlight - Materialise
Materialise Mimics Enlight - Materialise
Published:

Materialise has received FDA clearance for its Mimics Enlight cardiovascular planning software suite, which helps to enhance clinician preparation for complex procedures.

The first release of the software platform will be able to be implemented in the planning of mitral valve replacement surgeries, while future updated will expand the capabilities to allow users to extend the software to other heart and vascular therapy.

Mimics Enlight is based on Materialise’s Mimics Innovation Suite, which has been in deployment by a range of clinicians throughout the last 20 years. The Mimics Enlight software was developed in collaboration with Henry Ford Health System in Detroit, leveraging a patented workflow from the Henry Ford Innovation Institute. With that foundation in place, Mimics Enlight enables surgeons to take critical measurements, plan accordingly, communicate those plans with colleagues, and then deliver the procedure.

“We believe in the power of our mission to create a better and healthier world,” commented Bryan Crutchfield, Vice president and General Manager of Materialise North America. “We work very closely with teams at our partner hospitals and medical device companies to identify areas where 3D planning and printing can improve their ability to plan procedures. With the FDA clearance of Mimics Enlight, we are expanding the 3D toolkit for cardiologists working to treat patients with complex cardiovascular issues, starting with mitral valve replacement.”

Mitral Valve disease is a common heart disease in which one in ten over the age of 75 will suffer at least to a moderate level. Carrying out transcatheter mitral valve replacement (TMVR) is unique each and every time due to the differences in each patient’s anatomy. It is such that accurate measurement and pre-planning is essential for the correct-sized TMVR devices to be implanted safely and accurately.

“Materialise has a wealth of medical technology and experience built throughout two decades of development and implementation of the Mimics Innovation Suite,” said Brigitte de Vet Veithen, Vice President of Materialise Medical. “That expertise in delivering patient-specific solutions serves as the foundation for Mimics Enlight Mitral’s ability to consistently view and measure each patient’s complex mitral valve anatomy. Using a 3D model created in Mimics Enlight Mitral improved physicians’ ability to understand and plan procedures before entering the cath lab and gives them the reliable measurements critical to successful implantation of TMVR devices in highly diseased hearts.”

More in Healthcare

See all

More from TCT Team

See all
Thermwood

Thermwood

/

From our partners