Materialise has launched the latest version of its Mimics Innovation Suite software which brings faster segmentation and easier finite element analysis (FEA) meshing for the medical industry to the 3D printing platform.
With these two key focuses, the Materialise Mimics Innovation Suite 19 is equipped with new tools and robust algorithms that make 3D reconstruction and analysis for patient-specific devices, smoother than ever before. Faster segmentation means users benefit from a combination of smarter editing tools and live 3D Preview mode.
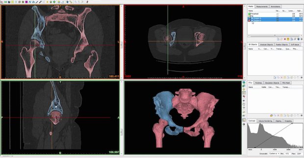
The new Split Tool automatically splits two adjacent tissues by marking the two in several slices. It is now also possible to alternate between 2D and 3D editing in one operation and 3D models can be fine-tined with more intuitive Contour Editing. Studies have shown that these improved capabilities mean segmentation times have been reduced significantly (see chart).

In addition, the new update has made FEA much easier with a new user-friendly interface, algorithms and better interaction with FE solvers. With a new uniform mesh algorithm, the triangle quality has been improved and results now require less calculation time. A new non-manifold assembly algorithm has also been introduced to make combining parts, like bones and implants, much simpler in a single mesh.
The Belgian 3D printing company believes these new improvements will allow even inexperienced users to get started wit FEA meshing whilst more seasoned users will be able to complete even the most complex cases in less time.
Speaking about the latest release, Dr. Jonathan Ford from the University of South Florida commented: “The grid system non-manifold assembly is a potential game changer. I will no longer have to spend hours or ever days on getting complex meshes ready for FEA. This is a dream come true.”

Materialise has been reinforcing its position as the software backbone of the additive manufacturing industry and recently launched the Magics 3D Print Suite, a comprehensive software package that combines multiple application into one set of business solutions.